Thời gian gần đây, liên tiếp tiếp các trường hợp phải nhập viện do bị biến chứng khi tiêm thuốc giảm đau vào khớp tại các phòng khám tư nhân không đảm bảo vô khuẩn trong quá trình tiêm. Tại khoa Hồi sức tim mạch, Viện Tim mạch, Bệnh viện Trung ương Quân đội 108 đã tiếp nhận nhiều trường hợp người bệnh bị viêm nội tâm mạc nhiễm khuẩn biến chứng sùi, loét, thủng van tim hoặc tắc mạch máu liên quan đến nhiễm khuẩn khớp, tiêm khớp.
Bệnh nhân N.V.T (56 tuổi, Thái Bình) nhập viện trong tình trạng đoạn ruột non hoại tử tím đen do tắc động mạch mạc treo tràng trên. Anh phải trải qua 2 cuộc mổ cấp cứu để cắt ruột và chỉ còn khoảng 1 mét ruột non. Theo lời kể của bệnh nhân, cách đây 4 tháng, anh bị tai nạn giao thông có vết thương khớp gối trái gây viêm khớp gối trái, điều trị bằng kháng sinh và chọc hút dịch khớp nhiều lần nhưng không đỡ. Do đau bụng dữ dội, bí trung đại tiện, anh được đưa đến cấp cứu tại Bệnh viện Trung ương Quân đội 108 và được các bác sỹ chẩn đoán bị tắc nhánh động mạch mạc treo tràng trên biến chứng hoại tử ruột tái phát nhiều lần.
Kiểm tra chuyên sâu về tim mạch cho thấy, bệnh nhân bị viêm màng trong tim nhiễm khuẩn do tụ cầu vàng gây nên hiện tượng tắc mạch tái phát. Các bác sỹ đã tiến hành chọc hút dịch khớp gối trái của anh và phải phẫu thuật nội soi bơm rửa ổ khớp.

Đoạn ruột non bị hoại tử tím đen do tắc động mạch mạc treo tràng trên của 2 lần phẫu thuật.
Các bác sỹ Khoa Hồi sức tim mạch, Bệnh viện Trung ương Quân đội 108 cho biết: bệnh nhân có nhiều vấn đề ở nhiều chuyên khoa tưởng chừng khác xa nhau như tiêu hoá, cơ xương khớp, tim mạch… Nhưng sau khi xâu chuỗi lại các sự kiện thì nhận thấy đây là diễn biến tự nhiên của một vết thương nhiễm khuẩn khớp. Ban đầu từ một vết thương khớp gối nhiễm khuẩn, vi khuẩn (thường là tụ cầu hoặc liên cầu) theo máu đến tim gây viêm màng trong tim nhiễm khuẩn với tổn thương điển hình là các cục sùi bám trên các lá van tim, phất phơ theo từng nhịp đập bơm máu. Khi kích thước cục sùi lớn, một phần cục sùi bong ra và theo dòng máu đến các cơ quan, trong đó có mạch máu nuôi ruột, bít tắc và gây thiếu máu, hoại tử ruột. Trên thế giới, các trường hợp tắc mạch ruột do viêm màng trong tim nhiễm khuẩn thường rất hiếm.

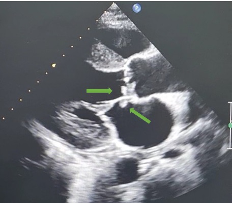
Siêu âm tim anh T phát hiện cục sùi lớn (mũi tên xanh), gây thủng van và làm hở nặng van hai lá.
Một trường hợp khác là bệnh nhân N.V. D (55 tuổi, Hải Phòng) nhập viện trong tình trạng khó thở dữ dội, đau ngực trái kèm sốt cao, suy kiệt, tự điều trị tại nhà không đỡ. Kết quả xét nghiệm cho thấy, bệnh nhân D bị nhiễm vi khuẩn Streptococcus oralis trong máu. Siêu âm tim cho thấy bệnh nhân D bị sùi loét thủng 2 van tim. Bác sỹ khoa Hồi sức tim mạch nhanh chóng chẩn đoán bệnh nhân D bị nhiễm trùng máu nặng, nhiễm trùng lan tới cả van tim. Được biết, trước đó bệnh nhân này bị đau khớp gối và đau lưng, đã được bác sỹ tư nhân tiêm corticoid trực tiếp vào khớp gối và cột sống thắt lưng. Mặc dù triệu chứng đau khớp có đỡ, nhưng sau khi tiêm khớp được 2 ngày, bệnh nhân bị sốt triền miên, mệt mỏi và khó thở liên tục.

Siêu âm tim bệnh nhân D. thấy các nốt sùi như nụ hoa trên cành cây (mũi tên xanh) tại van động mạch chủ và van hai lá.
Đối với những trường hợp trên, người bệnh sẽ phải trải qua quá trình điều trị vô cùng phức tạp: dùng kháng sinh đường tĩnh mạch liên tục từ 4-6 tuần, phẫu thuật thay van tim bị nhiễm khuẩn…, với nguy cơ tử vong trong quá trình điều trị khoảng 16%. Nếu điều trị thành công, người bệnh vẫn phải uống thuốc chống đông suốt đời với rất nhiều nguy cơ luôn tiềm ẩn.
Trước đó, khoa Phẫu thuật Chấn thương Chi trên và Vi phẫu (Bệnh viện Trung ương Quân đội 108) cũng đã đã tiếp nhận nhiều trường hợp người bệnh bị biến chứng bàn tay, cổ tay do sử dụng tiêm thuốc giảm đau trong điều trị đau khớp. Các bệnh nhân sau khi tiêm thuốc giảm đau vào khớp chỉ đỡ được 1 thời gian nhưng sau đó bị nhiễm trùng nặng, khớp sưng to, nóng đỏ, đau nhức, khớp toàn dịch mủ, có người nằm liệt không đi được...
Hiện nay, nhiều người coi việc tiêm thuốc giảm đau trực tiếp vào khớp như biện pháp chữa đau khớp đặc biệt hiệu quả và ít tốn kém. Song, không ít trường hợp chỉ đến mũi tiêm thứ hai đã bị biến chứng nhiễm trùng, teo cơ, cứng khớp, mất chức năng vận động. Các bác sỹ cho biết, viêm khớp là triệu chứng có các biểu hiện sưng, nóng, đỏ, đau tại các khớp. Bệnh thường gặp ở tuổi bắt đầu của sự lão hóa, nhưng cũng có thể xảy ra ở lứa tuổi thanh, thiếu niên. Tuy nhiên, ngày càng có nhiều bệnh nhân nhập viện do biến chứng nhiễm trùng khớp, teo cơ, cứng khớp... chỉ vì lạm dụng tiêm thuốc vào khớp, nhất là corticoid.
Có nhiều phương pháp điều trị bệnh lý khớp. Biện pháp tiêm corticoid vào khớp là một trong số biện pháp cho tác dụng giảm đau nhanh và có thể phát huy tác dụng vài tuần tới vài tháng. Tuy nhiên, đây chỉ là một biện pháp điều trị trong cả liệu trình điều trị cho một số bệnh lý xương khớp. Chính vì vậy, phương pháp này bắt buộc phải được chỉ định của bác sỹ chuyên khoa có kiến thức và tay nghề.
Các bác sỹ khuyến cáo người dân khi có các bệnh lý cơ, xương, khớp cần đi khám và điều trị tại các bệnh viện, phòng khám uy tín để được chẩn đoán đúng tình trạng bệnh, từ đó có chiến lược điều trị phù hợp, tránh chỉ định sai hoặc lạm dụng kỹ thuật tiêm khớp, đặc biệt trong điều kiện không đảm bảo vô khuẩn. Một khi đã có tai biến, biến chứng cần đi khám ngay để có phác đồ xử trí kịp thời, tránh những biến chứng không hồi phục như: teo cơ, loãng xương, suy tuyến thượng thận, mất chức năng vận động, tàn phế... hoặc nhiễm khuẩn vào tim như hai trường hợp kể trên với chi phí điều trị rất tốn kém và ảnh hưởng nghiêm trọng đến sức khỏe của người bệnh sau này.